院長の奥井です。
今回はプレオルソについて 軽度な不正咬合にを説明したいと
思います。
プレオルソについては以前にも幾度か投稿しておりますが、
マウスピース型の矯正装置になります。
プレオルソの機構は、装着することにより舌が上に上がり
上顎の歯列を横方向に拡大し、また頬なども排除され自然な
歯列の拡大を促せます。

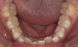
下顎ですが前歯に重なりが見られますが軽度で、
また奥歯と奥歯の幅は狭くありません。

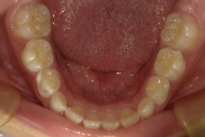
プレオルソを装着したところです。

歯列が綺麗になりました。

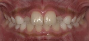
正面の写真ですが、真ん中から2番目の歯が
内側に移動し反対の噛み合わせになっています。

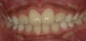
2番目の歯が前進し綺麗になっています。
軽度の叢生(そうせい 重なっていること)の場合、
プレオルソが効果を発揮することが多いです。
しかしプレオルソは既製品のため、装着した時に
フィット感が少なく装着するのに訓練やモチベーションが
必要です。
ちなみに起きている時に1時間以上と就寝時に装着することが
必要です。
プレオルソは自費診療になります。
当院では診断料(レントゲン代含む)33,000円
装置代、治療費 55,000円(R7年12月時点)
となります。
またプレオルソだけで矯正治療が終了できない場合もあり、
その場合はのちに発生する矯正治療費より一定金額を引かせて
いただいております。
この記事は院長が投稿しました。
プロフィール
医療法人爽誉会おくい歯科 院長 奥井英幹
1999年より名古屋市北区で開業しております。
骨造成を含むインプラント治療 ワイヤー装置を用いた
全顎矯正治療に歯周再生療法 小児矯正と幅広く診療
しております。またスタッフ採用、教育にも力を入れ
十分な体制でのチーム医療を提供できるように
院内スタッフと診療にあたっています。
地域で一番の診療所を目指しております。














