お問い合わせは052-910-0550
お問い合わせフォーム
予約

理事長BLOG

GBR(骨再生誘導法)インプラントのために骨を作る処置について

2025年10月30日

今回はGBR(骨再生誘導法)インプラントのために骨を作る処置について
説明したいと思います。
インプラントの手術を行うにあたり最も大切なのはインプラント体を入れる
骨の長さや厚みがあるかという事になります。
骨の長さはあっても厚みがない場合、諦めるのではなくGBRを行うことで
インプラント治療を可能にすることができます。


画像の右側に骨が足りない場合、人工骨を転入して
人工骨が固まるようにメンブレンという遮断膜を敷いて
縫合します。これがGBRになります。メンブレンの意義は
人工骨を固定させ、結合組織が入ってきて人工骨が固まるのを
邪魔するのを防ぐためです。


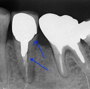
画像のレントゲンは矢印の部分が歯が折れており抜歯適応となります。


抜歯後インプラントを埋入しましたが骨が足りずネジが
見えています。


人工骨を填入しメンブレンを敷いたところです。


レントゲンでは外側に人工骨を足したため
像としては現れにくいです。


埋入から4ヶ月後、上部構造が入ったところです。


5年後のレントゲン写真です。特に変化はなく
良好です。

このようにGBRはインプラント手術における重要な処置と
なると同時にテクニックの必要な処置となります。
ただ最近は、このようなインプラント埋入と同時のGBRでなはく
先に人工骨のみを転入するGBRを行ってからインプラント体を
埋入する術式に変わってきております。

インプラントサイトもご参照下さい。
https://okui-dc.jp/implant/

GBRは自費診療になります。人工骨の量によりますが
約110,000円ほどになります。(R7年9月時点)

この記事は院長が投稿しました。
プロフィール 
医療法人爽誉会おくい歯科 院長 奥井英幹
1999年より名古屋市北区で開業しております。
骨造成を含むインプラント治療 ワイヤー装置を用いた
全顎矯正治療に歯周再生療法 小児矯正と幅広く診療
しております。またスタッフ採用、教育にも力を入れ
十分な体制でのチーム医療を提供できるように
院内スタッフと診療にあたっています。
地域で一番の診療所を目指しております。

 

ページトップへ戻る