今回は増歯(ぞうし)と新製について説明したいと思います。
入れ歯をはめてみえる患者様で、歯を抜いた場合に入れ歯を
作り直さないといけないと思ってみえる方は多いです。
全ての場合に対応はできませんが、抜歯をした場合に
増歯(ぞうし)といって入れ歯の歯を追加する事ができます。
追歯とも呼ばれます。

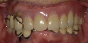
画像は上の前歯を数本同時に抜歯した場合です。

画像が増歯です。通常、増歯は入れ歯を預かって
型を取り技工所に渡して修理する事が基本ですが
そうしますと入れ歯のない期間ができます。
時間はかかりますが診療室でこのように修理することも
可能です。

しかし抜いた後の歯茎が落ち着きましたら
新製と言って作り直した方が画像のように歯の
部分も綺麗に出来上がります。
増歯はよくある治療です。抜歯をした場合に
その場で修理できる事は患者様にとって
有益と思います。
この記事は院長が投稿しました。
プロフィール
医療法人爽誉会おくい歯科 院長 奥井英幹
1999年より名古屋市北区で開業しております。
骨造成を含むインプラント治療 ワイヤー装置を用いた
全顎矯正治療に歯周再生療法 小児矯正と幅広く診療
しております。またスタッフ採用、教育にも力を入れ
十分な体制でのチーム医療を提供できるように
院内スタッフと診療にあたっています。
地域で一番の診療所を目指しております。














