今回はリグロス 歯周組織再生療法について説明したいと思います。
以前も幾度か投稿しましたがリグロスについて説明致します。
リグロスは歯周病によって失われた歯槽骨などの組織を再生させる効果が
期待できます。
リグロスは細胞を増やす成長因子というものを成分としており、歯周病で
破壊された組織の周りにある細胞を増やし、血管を形成して細胞に栄養を
送り込むことで、歯周組織の再生を促すものです。
リグロスは、遺伝子組み換え技術により大腸菌を用いて製造した
トラフェルミンという成分を主成分としています。
遺伝子組み換え食品等が問題になったのは、食物そのものの遺伝子に
操作をしているためですのでそのような食物を口に入れて人体への影響がないか
といった心配がありましたが、リグロスに関しては、成分であるトラフェルミンは
元々ヒトの体内に存在する物質で人工的に作り出すために、ヒトの遺伝子を
大腸菌に組み込んでいるため『遺伝子組み換え』となっています。
ただし、実際に体内に入る成分であるトラフェルミン自体はヒトの体内に存在するものと
同じですので、遺伝子が組み替えられたものではないため安全性に問題はないです。

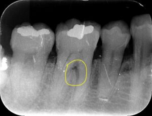
レントゲンですが黄色の部分、根分岐部と呼ばれていますが
歯槽骨が吸収しているため、黒く写っています。

リグロスを注入しているところです。

縫合が終わったところです。

1年半後ですが黄色の部分に歯槽骨が再生し
白くなっています。
このようにリグロスは歯槽骨を再生させる働きを持っています。
しかし骨の欠損の状態によっては人工骨と混ぜた方がよい場合も
ありますが、人工骨と混ぜた方法は自費診療となります。
また保険診療でのリグロスは初診時には行えません。
歯周病の一連の治療を行わないと認められません。
この記事は院長が投稿しました。
プロフィール
医療法人爽誉会おくい歯科 院長 奥井英幹
1999年より名古屋市北区で開業しております。
骨造成を含むインプラント治療 ワイヤー装置を用いた
全顎矯正治療に歯周再生療法 小児矯正と幅広く診療
しております。またスタッフ採用、教育にも力を入れ
十分な体制でのチーム医療を提供できるように
院内スタッフと診療にあたっています。
地域で一番の診療所を目指しております。














