お問い合わせは052-910-0550
お問い合わせフォーム
予約

理事長BLOG

サイナスリフトの同時法と段階法について

2026年2月1日

院長の奥井です。
今回はインプラント手術の一つであるサイナスリフトの同時法と
段階法について説明したいと思います。
上の奥歯のインプラント手術を行う場合に気をつけないと
いけないのは副鼻腔(ふくびくう)の存在です。
鼻の穴の横、ちょうど頬の辺りに副鼻腔という空洞があります。
吸い込んだ空気を加温、加湿したりして肺への負担を減らすなど
さまざまな役割を果たします。しかし上の奥に骨が少ない場合、
そのままインプラント手術を行うと副鼻腔に貫通してしまい
感染を起こしてしまいます。
そのため副鼻腔を持ち上げて避けるサイナスリフトという手術が
行われることになります。
サイナスリフトは骨が5mm以上残っていて数ミリ上げるだけでしたら
ドリルした穴から少し持ち上げるソケットリフトと4mm以下の場合には
頬側の骨に穴をあけて横から副鼻腔粘膜を持ち上げるサイナスリフト
(ラテラルウインドウ)に分けられます。
そのラテラルウインドウには副鼻腔を持ち上げて人工骨を入れて同時に
インプラントを埋入する同時法と人工骨のみを入れておいて数ヶ月後に
インプラントを埋入する段階法とあります。

同時法は、手術の回数が少なく済む、治療期間が短くなるという
メリットがあります。しかし残っている骨にインプラントが固定できないと
インプラントが脱落するかさらには副鼻腔内に入ってしまう可能性が
あるため、その場合が段階法になります。骨の状態などによって方法が
分けられます。


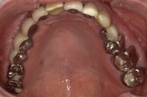
画像の左側には4本分歯がありません。
さらに奥歯も良い状態ではないので抜歯しました。


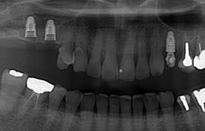
レントゲンでは上の点線が副鼻腔、下の線が
骨のラインで約2mmしか骨がありません。


インプラントに初期固定が得られましたので
同時法で行いました。


その後、さらにその奥もサイナスリフトを行いました。
青丸が骨に穴をあけた部分です。


このように奥歯にしっかりとインプラントが
入りました。


歯が増えています。


この場合も残っている骨が少ないです。


この場合は段階法を選択し人工骨のみを
入れました。赤線より下が人工骨を足した部分です。


その後インプラントを埋入しました。

このように同時法、段階法とありますので、状況に
よって方法は変わると思います。

この記事は院長が投稿しました。
プロフィール 
医療法人爽誉会おくい歯科 院長 奥井英幹
1999年より名古屋市北区で開業しております。
骨造成を含むインプラント治療 ワイヤー装置を用いた
全顎矯正治療に歯周再生療法 小児矯正と幅広く診療
しております。またスタッフ採用、教育にも力を入れ
十分な体制でのチーム医療を提供できるように
院内スタッフと診療にあたっています。
地域で一番の診療所を目指しております。

ページトップへ戻る