院長の奥井です。
今回はブリッジについて説明したいと思います。
ブリッジについては幾度か投稿をしておりますが、
患者様にブリッジの説明をすることが多いですので
再度説明させていただきます。
ブリッジとは歯を失った場合に両隣の歯を削って
失った歯の部分も含めてつなげて作った被せ物のことを
言います。

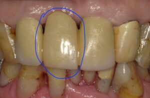
左の画像は真ん中の歯がありませんが右がブリッジをかぶせた画像で青丸部分に
歯ができています。
このようにブリッジは橋のようなものであり。橋義歯とも呼ばれます。
しかしブリッジを入れるためには両隣の歯を削らないといけません。
上の画像は銀色の棒が入っており既に神経をとっていることになります。

しかし上の画像の右の青丸部分は神経のある歯に
なります。
このぐらい削らないとブリッジを入れることができない
場合もあります。
接着ブリッジというあまり歯を削らない方法もありますが
壊れやすく外れやすい欠点があります。
しかし画像のようにたくさん歯を削ると冷たいものや熱いものに
しみてきて神経を取らないといけない可能性が出てきます。
神経を取ると歯が割れる可能性も出てきます。
インプラントは隣の歯を削りません。
同じく入れ歯も歯を削りません。
そのためブリッジだけは後戻りのできない処置になります。
そのことを踏まえた上でブリッジを選択していただいた方が
いいかと思います。
この記事は院長が投稿しました。
プロフィール
医療法人爽誉会おくい歯科 院長 奥井英幹
1999年より名古屋市北区で開業しております。
骨造成を含むインプラント治療 ワイヤー装置を用いた
全顎矯正治療に歯周再生療法 小児矯正と幅広く診療
しております。またスタッフ採用、教育にも力を入れ
十分な体制でのチーム医療を提供できるように
院内スタッフと診療にあたっています。
地域で一番の診療所を目指しております。














