院長の奥井です。
今回はジルコニアオーバーレイとは について
説明したいと思います。
当院ではジルコニアオーバーレイをかなりの頻度で
装着しております。
ですから前にも幾度か投稿しておりますが、再度説明させて
いただきたいと思います。
まず歯を部分的に削って被せた被せ物をよく見られると
思います。これをインレーと呼びます。イン(中に)
レイ(置く)からそう呼ばれます。
そして咬合面(歯の咬む面)を全て削って被せるものを
オーバーレイと言います。
歯の横面を全て削るものをクラウンと呼び、オーバーレイは
インレーとクラウンの中間の位置付けとなります。
またオーバーレイとは新しい言葉でなぜオーバーレイが出てきた
かというとアレルギーの問題、見た目の問題、また金属はセメントと
接着しないため2次虫歯のリスクの観点より被せ物を白くされる
ケースが増えています。ただし金属を用いないインレーは割れやすく
そのため割れにくいオーバーレイが出てきたと言えます。

画像はオーバーレイ用に削った歯です。
歯の頭の部分は全面に削らないといけません。

完成されたオーバーレイです。

セメントでつける時に画像の様にラバーダムといえます。

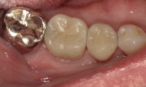
オーバーレイが装着されたところです。
セラミックでオーバーレイも作ることはできますが
大臼歯はかなり力が加わるため当院ではジルコニアに
しております。ただしセラミックよりジルコニアの方が
色調に自然感は失われます。
またオーバーレイは削る量も増えますのでしみることも
あります。
上記のことも踏まえつつ奥歯が虫歯で白く被せたい場合は
歯科医師と相談されることをお勧めしております。
この記事は院長が投稿しました。
プロフィール
医療法人爽誉会おくい歯科 院長 奥井英幹
1999年より名古屋市北区で開業しております。
骨造成を含むインプラント治療 ワイヤー装置を用いた
全顎矯正治療に歯周再生療法 小児矯正と幅広く診療
しております。またスタッフ採用、教育にも力を入れ
十分な体制でのチーム医療を提供できるように
院内スタッフと診療にあたっています。
地域で一番の診療所を目指しております。














