院長の奥井です。今回は矯正治療における抜歯について
説明したいと思います。
当院では小児矯正だけでなく永久歯の全体的な矯正治療も
行っております。その際、よく保護者の方やご本人から
矯正治療で抜歯が必要な場合があることを説明しますと
抜歯に対しての抵抗感がある場合を多く感じます。
歯が減ってしまうという心配はごもっともですが、
現代人はあごが小さく歯が並び切らないことがよくあり
その場合は抜歯をしないといわゆる「おしくらまんじゅう」
のように歯列から歯がはみ出てしまい、将来的に歯茎が下がって
しまったりすることが懸念されます。ですから出っ歯が強いなどの
前後的な問題でない場合でもあごの中に歯が並び切らない場合は
抜歯を行った方がよい場合もあります。

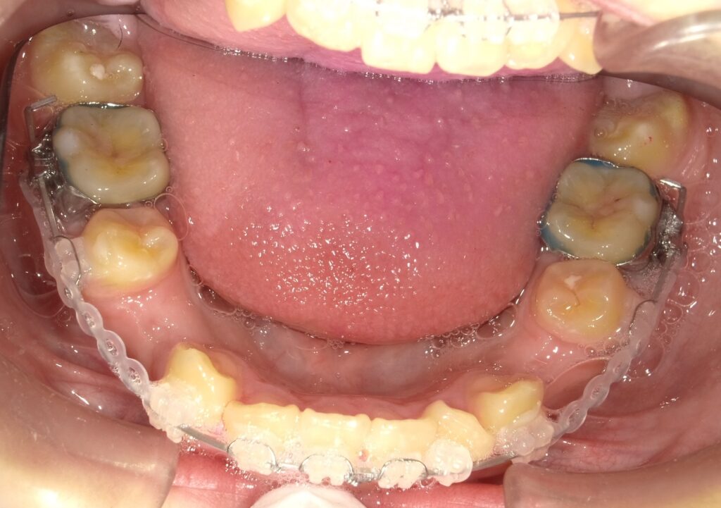
画像のような場合ですが抜歯をしないとあごの中に歯が
収まりきりません。

上下とも重なりが認められます。

このように全体的なワイヤー装置を装着します。

画像のようにリング状のゴミで前歯を後ろに交代させます。

画像の青部分はアンカースクリューというネジでこれと
後ろに送りたい歯にゴムをつけて牽引します。

歯列が改善したところです。
このようにして抜歯が必要な場合は抜歯を行った方が
あごの中に歯が入り込んで良好となります。
ただし抜歯をしなくても良い場合もありますので、歯科医院と
相談されることをお勧め致します。
この記事は院長が投稿しました。
プロフィール
医療法人爽誉会おくい歯科 院長 奥井英幹
1999年より名古屋市北区で開業しております。
骨造成を含むインプラント治療 ワイヤー装置を用いた
全顎矯正治療に歯周再生療法 小児矯正と幅広く診療
しております。またスタッフ採用、教育にも力を入れ
十分な体制でのチーム医療を提供できるように
院内スタッフと診療にあたっています。
地域で一番の診療所を目指しております。














