院長の奥井です。今回は歯をぶつけてしまった場合 外傷歯の処置について
説明したいと思います。
歯をぶつけてしまった場合、どうすればいいか対応に困られると思います。
まずは歯科医院が診療している時間帯ならば歯科医院に受診されることを
お勧め致します。
もし診療していない時間帯であれば安静を保ちましょう。抜け落ちてしまった
場合はよく水道水で洗って自分で戻せられれば戻し、難しければ牛乳に入れておくのも
一つです。また欠けてしまった場合は一応破片をとっておきましょう。ただつけても
取れてしまうことが多いです。
ただ頻度として多いのはグラグラするというものです。
もちろんその歯をあまり使わないでおくのが大切なことですが、
グラつきがひどくない場合は、経過を見ます。グラつきがある程度
ある場合は針金を用いて固定します。

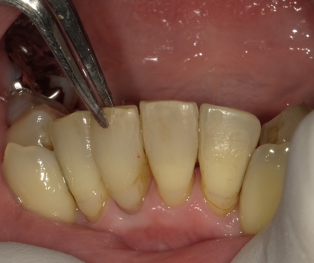
画像は下の前歯をぶつけられたとのことでピンセットで
持っている歯が外傷を受けた歯です。少しグラつきが
認められます。

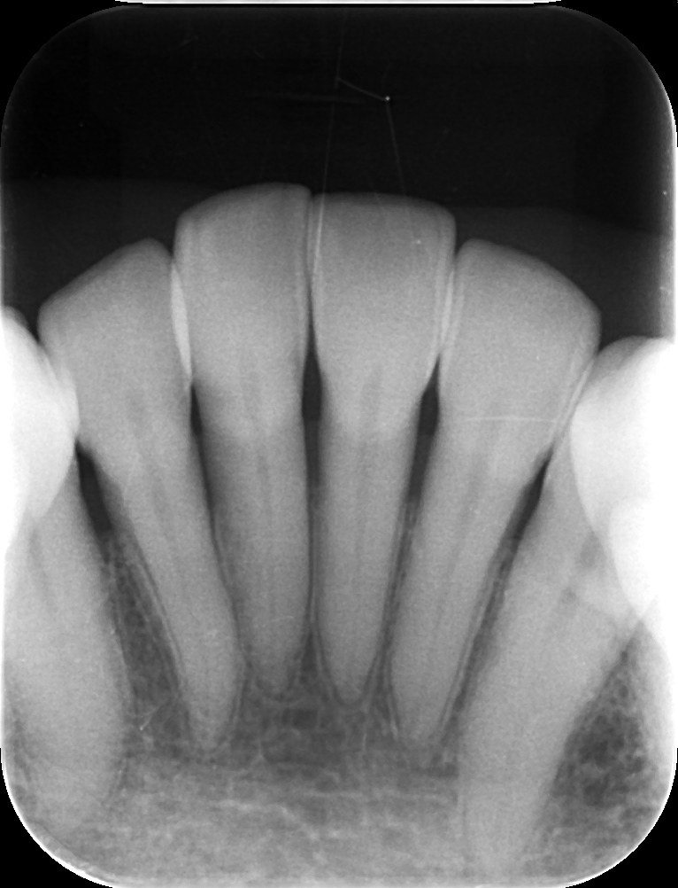
レントゲンではそれほどの異常は認められませんでした。

画像は強い外傷を受けた場合で右の点線から左の
点線に歯が移動しています。

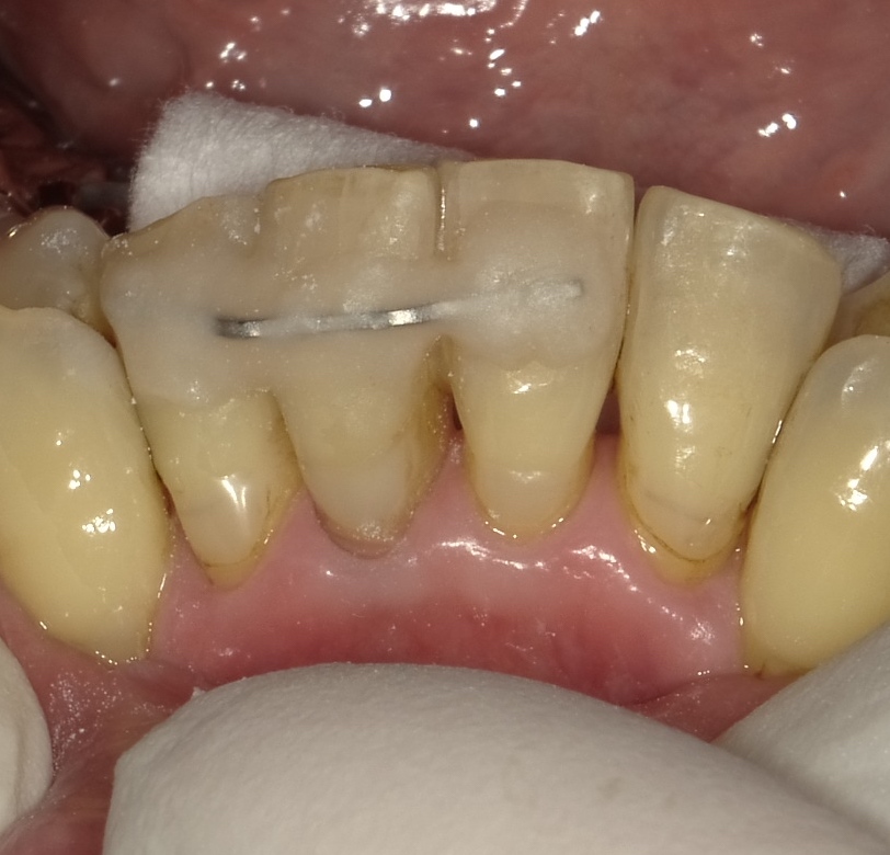
このような針金を用いて固定をします。
固定することで歯がグラグラせず食事も幾分楽に
なります。ただしこの固定は2、3週で外します。
歯をぶつけてしまった場合は上記のようなグラつきがある
ことが多く、やはり歯科医院に受診してどのレベルなのかを
見てもらうことをお勧め致します。
この記事は院長が投稿しました。
プロフィール
医療法人爽誉会おくい歯科 院長 奥井英幹
1999年より名古屋市北区で開業しております。
骨造成を含むインプラント治療 ワイヤー装置を用いた
全顎矯正治療に歯周再生療法 小児矯正と幅広く診療
しております。またスタッフ採用、教育にも力を入れ
十分な体制でのチーム医療を提供できるように
院内スタッフと診療にあたっています。
地域で一番の診療所を目指しております。














