院長の奥井です。
今回は神経まで達する虫歯 潰瘍性歯髄炎について
説明したいと思います。
歯の神経のことを歯髄と言いますが神経まで虫歯が
達してしまい冷たいもの熱いものにしみるなどの症状が
出てきたものを歯髄炎と言います。
しかし奥歯の場合、溝がありその溝の虫歯から中に進行した場合、
パッと見ると大きな虫歯に見えない場合が多々あります。
しかしズキズキする、冷たいもの、熱いものにしみるなどの
症状がある場合は歯髄炎となります。

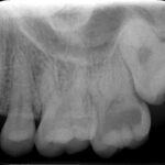
画像の矢印部分ですが少し黒いのみで大きな虫歯に
見えません。

しかしレントゲンを見ますと中がかなり虫歯になっています。
黒い部分が虫歯です。

歯を削っていくとかなり茶色くなり虫歯に罹患しています。

神経を取る治療を開始しました。
ファイルという針を用いて神経を取る治療を行うのですが
1番奥の歯はこのように根が曲がっている場合がよくあり
根管治療を難しくします。この場合も丁寧にファイルを
根の先まで届かせました。
特に奥歯の場合、このように見た感じ虫歯に見えない場合が
よくあります。しかし歯の表面のエナメル質は骨より硬く
虫歯菌の出す酸では容易には溶けません。しかし甘い食べ物が
多いなどリスクが高まりますとエナメル質は溶け、その中の
象牙質はエナメル質より柔らかいためこのように「アリの巣」の
ように中で大きくなってしまうのです。
この記事は院長が投稿しました。
プロフィール
医療法人爽誉会おくい歯科 院長 奥井英幹
1999年より名古屋市北区で開業しております。
骨造成を含むインプラント治療 ワイヤー装置を用いた
全顎矯正治療に歯周再生療法 小児矯正と幅広く診療
しております。またスタッフ採用、教育にも力を入れ
十分な体制でのチーム医療を提供できるように
院内スタッフと診療にあたっています。
地域で一番の診療所を目指しております。














