今回はTFix 暫間固定について説明したいと思います。
暫間固定とは歯周病などでグラグラになった歯を隣の歯などと一時的に
ワイヤーやプラスチックで固定する治療のことを言います。
これにより、歯にかかる力を分散させて物を噛む際の痛みを軽減します。
TfixとはTemporaryFixの略で一時的に固定するという意味です。
歯茎の状態が落ち着きましたら最終的な被せ物などに移行していきます。

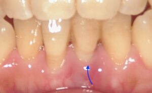
画像の矢印の歯が歯周病が進行し暫間固定で経過を見ていました。

周囲のホ根が完全になくなってしまいましたので
抜歯をし、その歯を接着剤でとめました。
矢印がその歯になります。

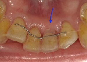
レントゲンでは抜歯した歯が浮いているように
見えます。

内側から見た状態です。実際歯があるように
見えます。

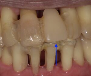
画像は抜けてしまったため入れ歯の歯を接着剤でとめて
います。自然な感じではありますが先ほどの画像ほど
色がマッチしていません。
このように暫間固定は一時的な治療とはいえ、見た目的には
見た目を改善でき患者様にとても喜ばれる治療法になります。
しかし強度的に強くありませんので、硬いものを噛みすぎない
など気をつけないといけません。
この記事は院長が投稿しました。
プロフィール
医療法人爽誉会おくい歯科 院長 奥井英幹
1999年より名古屋市北区で開業しております。
骨造成を含むインプラント治療 ワイヤー装置を用いた
全顎矯正治療に歯周再生療法 小児矯正と幅広く診療
しております。またスタッフ採用、教育にも力を入れ
十分な体制でのチーム医療を提供できるように
院内スタッフと診療にあたっています。
地域で一番の診療所を目指しております。














