院長の奥井です。
今回はタングガード 舌を前に出す癖を治す装置について
説明したいと思います思います。
舌突出癖と言って舌を前に出してしまう癖があります。
この舌突出癖がありますと出っ歯になってきたり、また
開咬(かいこう)とって奥歯を噛み合わせても前歯の間が空いてしまう
噛み合わせになってしまう可能性が高くなります。
タングガードは固定式と言って奥歯などにセメントでつけて
取り外しをしない装置と、可撤式と言って取り外しのものと
ありますが、共通していますのは上の前歯の裏側に針金が設置してあり
舌を前にこさせない機構となります。

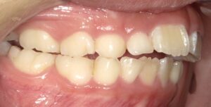
舌突出癖があります。そのため上の前歯と下の前歯の間が空いて
います。

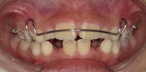
画像がタングガードになります。
これは可撤色のものです。青で囲った部分が針金で
舌が前に来れないようになっています。

タングガードをはめた正面の写真です。

タングガードの効果が出て上下の隙間が無くなりました。
このようにしてタングガードは舌突出癖には有効な治療となります。
しかしこれは小児患者様に用いる治療ですので、顎の成長や
歯の生え変わりにより変化は起こりますので、経過観察は必要と
なります。
タングガードは小児矯正治療に一つになります。自費診療となり
ます。
診断料 33,000円 小児矯正治療費 297,000円(R7年12月時点)
となります。
この記事は院長が投稿しました。
プロフィール
医療法人爽誉会おくい歯科 院長 奥井英幹
1999年より名古屋市北区で開業しております。
骨造成を含むインプラント治療 ワイヤー装置を用いた
全顎矯正治療に歯周再生療法 小児矯正と幅広く診療
しております。またスタッフ採用、教育にも力を入れ
十分な体制でのチーム医療を提供できるように
院内スタッフと診療にあたっています。
地域で一番の診療所を目指しております。














