今回は歯茎の中の虫歯の治療について 歯肉歯槽粘膜手術
について説明したいと思います。
診療していますと下顎第2大臼歯(下の一番奥の歯)の後ろ側、特に
歯茎の中に虫歯があることによく遭遇します。
これは親知らずが埋まって生えていることが原因で、親知らずとの
重なっている部分が磨けず虫歯になってしまうのです。
また歯茎の中のため治療器具が届かず歯科医師によっては抜歯を勧める
場合もあります。
このような場合、当院では歯肉歯槽粘手術を行い虫歯を治療されることを
お勧めしております。
簡単に言いますと歯茎を切開して、その虫歯の部分を露出させて治療すると
いうものです。

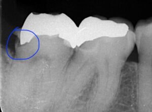
レントゲンの青丸の部分が被せ物の下の虫歯になります。
歯茎の中になりますので器具が入りません。

術前の状態です。仮のセメントが詰めてあります。

歯肉を切開し開いて青で囲った部分の虫歯を露出させます。

セメントで塞いだところです。

縫合を終えたところです。

被せ物の中にセメントが埋まっているのがわかります。
このように治療を行うことにより、虫歯の進行を妨げる
可能性が高くなります。
通常は被せ物を外して大幅に歯を削ることになりますので
かなり侵襲の小さい治療といえます。
ただし患者様の状態によってはこの処置はできない場合も
あります。
この記事は院長が投稿しました。
プロフィール
医療法人爽誉会おくい歯科 院長 奥井英幹
1999年より名古屋市北区で開業しております。
骨造成を含むインプラント治療 ワイヤー装置を用いた
全顎矯正治療に歯周再生療法 小児矯正と幅広く診療
しております。またスタッフ採用、教育にも力を入れ
十分な体制でのチーム医療を提供できるように
院内スタッフと診療にあたっています。
地域で一番の診療所を目指しております。














