院長の奥井です。今回は接着ブリッジ 歯を極力削らないブリッジについて
説明したいと思います。
ブリッジとは歯が失われたときに両隣の歯を削って
繋いで被せる治療法になります。インプラントは両隣の歯を
削ったりせずに失った歯を回復できます。しかし自費診療に
なりますの。接着ブリッジは保険診療のものと自費診療のものと
あります。

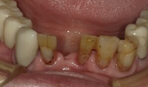
画像は前歯が失われた状態です。

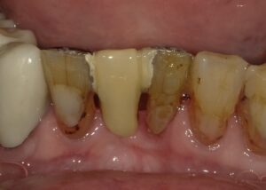
接着ブリッジを入れた状態です。
裏側を少し削ったのみです。
ただしこれは保険診療のものですので色はこれが
限界になります。自費資料のものですと裏側に
金属を用いませんので、きれいに合わせられる事が
可能です。
この記事は院長が投稿しました。
プロフィール
医療法人爽誉会おくい歯科 院長 奥井英幹
1999年より名古屋市北区で開業しております。
骨造成を含むインプラント治療 ワイヤー装置を用いた
全顎矯正治療に歯周再生療法 小児矯正と幅広く診療
しております。またスタッフ採用、教育にも力を入れ
十分な体制でのチーム医療を提供できるように
院内スタッフと診療にあたっています。
地域で一番の診療所を目指しております。














