院長の奥井です。今回は大きな嚢胞の除去について
説明したいと思います。
虫歯が大きくなると神経が死んでしまいその神経が壊死して
いきます。それが進むと根の周囲の骨が吸収して膿の袋を形成します。
それが嚢胞と言います。
嚢胞ができますと嚢胞を摘出しませんと治癒しません。
また嚢胞の大きさにもよりますが、歯科医院では嚢胞は摘出せずに
病院の口腔外科に紹介する場合が多いです。
当院では嚢胞の大きさが親指の大きさぐらいまででしたら通常の麻酔で
除去できますので当院で摘出を行なっております。

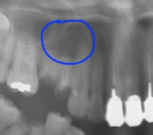
青○の部分が虫歯が進行して根っこだけになっています。

レントゲンでは青○の部分に嚢胞があります。

嚢胞を除去したところです。かなり穴があいています。

縫合を終えたところです。

抜歯した部分を補うためにブリッジを装着し
15年後です。

レントゲンではきれいに骨が再生されています。
このように嚢胞は症状がなく増大していくことも
あります。
無症状のこともありますので定期的にレントゲンを
撮影されることをお勧め致します。
この記事は院長が投稿しました。
プロフィール
医療法人爽誉会おくい歯科 院長 奥井英幹
1999年より名古屋市北区で開業しております。
骨造成を含むインプラント治療 ワイヤー装置を用いた
全顎矯正治療に歯周再生療法 小児矯正と幅広く診療
しております。またスタッフ採用、教育にも力を入れ
十分な体制でのチーム医療を提供できるように
院内スタッフと診療にあたっています。
地域で一番の診療所を目指しております。














