院長の奥井です。今回は転倒などで抜歯と言われる前に 挺出治療について
説明したいと思います。
転倒されたりなどで特に上の前歯の差し歯が外れてしまい中の歯が
割れたりかけたりすることがあります。
その場合、歯茎より下のしか歯が残っていない場合は、抜歯という
診断を受けることが多いと思います。確かに真っ二つに割れてしまった
場合など歯の保存が難しい場合もありますが、挺出(ていしゅつ 引っ張り上げる
)治療で助かる場合もあります。

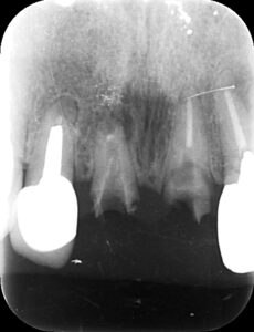
画像は転倒で差し歯が抜けて歯が割れてしまった場合です。
矢印部分の歯が欠けています。

レントゲンでも横に破折の線が入っているのが
わかります。
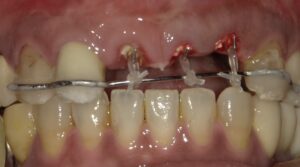
しかし2本抜歯となると後の治療が大変になります。

そのため挺出治療を開始しました。ゴムで歯を牽引して
いくものです。

プラスチックを貼って装置をわかりにくくします。

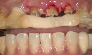
歯が提出され、その場合歯茎ごと上がってきますので
歯茎を切除します。その後の画像です。

土台(コア)を装着したところです。

被せ物を被せ終えたところです。
かなりしっかりと治りました。
このように挺出治療によって従来抜歯と言われた
歯も助かることもあります。
外傷を受けた場合、まずその歯が残せるのか
相談されることをお勧め致します。
この記事は院長が投稿しました。
プロフィール
医療法人爽誉会おくい歯科 院長 奥井英幹
1999年より名古屋市北区で開業しております。
骨造成を含むインプラント治療 ワイヤー装置を用いた
全顎矯正治療に歯周再生療法 小児矯正と幅広く診療
しております。またスタッフ採用、教育にも力を入れ
十分な体制でのチーム医療を提供できるように
院内スタッフと診療にあたっています。
地域で一番の診療所を目指しております。














