院長の奥井です。今回はタングクリブとは 舌を前に出す癖を直す装置について
説明したいと思います。
舌を前に出す癖、舌突出癖と言いますが割と多い癖になります。
指しゃぶりなどで上下の前歯の間が奥歯を噛んだ状態でも
空いてしまう場合に舌を出してしまう事などが原因と言われています。
その舌突出癖を直す装置の一つとしてタングクリブがあります。

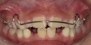
画像がタングクリブで青丸部分に針金がついており舌がこれ以上
前に出せないようになっています。

これは取り外しタイプのものです。歯にバンドをつけて
取り外せないタイプのものもあります。

左が治療前、右が装置装着6ヶ月後になります。開咬(かいこう)と言って
上下の前歯が空いているのが改善しています。
もちろんタングクリブのみより口腔筋機能療法といいお口のトレーニングを
行わなった方がより改善が見られます。
ただしこのような永久歯と乳歯の混ざった混合歯列の時期は注意深く経過観察が
必要と言えるでしょう。
この記事は院長が投稿しました。
プロフィール
医療法人爽誉会おくい歯科 院長 奥井英幹
1999年より名古屋市北区で開業しております。
骨造成を含むインプラント治療 ワイヤー装置を用いた
全顎矯正治療に歯周再生療法 小児矯正と幅広く診療
しております。またスタッフ採用、教育にも力を入れ
十分な体制でのチーム医療を提供できるように
院内スタッフと診療にあたっています。
地域で一番の診療所を目指しております。














