院長の奥井です。今回はMTM 部分的な歯の矯正治療について
説明したいと思います。
矯正治療というと歯の全体にワイヤー(針金)をつけてというような
イメージがあると思います。しかし1本2本の歯を動かすために
数本の歯にワイヤーをつけて動かす部分的な矯正治療もあります。
これをMTM(マイナートゥースムーブメント)と呼びます。
MTMが適する場合は多くあります。

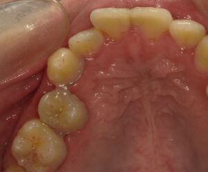
画像のように歯が重なっておりそのために歯が磨きづらく
虫歯になってしまう場合もよくあります。
この場合は青○の歯の方が位置が良いのですが虫歯が
大きいため抜歯とさせていただきその後ろの歯を動かす
矯正治療となりました。

抜歯をしこのような4本の歯に装置をつけて歯を
動かしていきます。

正面から見てもこのように部分的に装置が装着されて
いるのみです。

約半年後です。矯正装置を外し内側に後戻り防止の
ためのワイヤーを装着しました。
このように1本2本の歯を動かすMTMを行った方が良い
場合は多々あります。
自費診療になりますが歯並びを治して歯磨きしやすい
状態へ持っていくことは歯が長持ちすることになります。
MTMは自費診療になります。当院では約330,000円〜
となります。
この記事は院長が投稿しました。
プロフィール
医療法人爽誉会おくい歯科 院長 奥井英幹
1999年より名古屋市北区で開業しております。
骨造成を含むインプラント治療 ワイヤー装置を用いた
全顎矯正治療に歯周再生療法 小児矯正と幅広く診療
しております。またスタッフ採用、教育にも力を入れ
十分な体制でのチーム医療を提供できるように
院内スタッフと診療にあたっています。
地域で一番の診療所を目指しております。














