今回はジルコニアクラウンと前装冠の違いについて
説明したいと思います。
前装冠とは前装鋳造冠の略で、銀歯の表面にプラスチックを
貼ったもので保険診療で前歯の被せ物をするときに用いられます。
表面にプラスチックを貼りますので、銀歯よりは見た目がいいですが
年数とともに変色し劣化します。

画像が前装冠です。黄色く変色しています。

さらに外すと中の金属が錆びて変色しています。
そうしますと被せていた歯も変色を伴います。

被せていた土台の歯になります。虫歯の部分を
削って綺麗にしましたが内面から変色しています。
芯に金属を用いているためもあります。

それに対しジルコニアクラウンはセラミックスの一種である
ジルコニアのため変色しませんし、またセラミックスに
比べジルコニアは非常に耐久性が高いです。
画像はジルコニアボンドクラウンといい青点から下の部分は
セラミックスが貼り付けてありとても綺麗です。

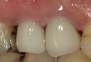
ジルコニアボンドクラウンを装着した状態です。
中の歯の変色は完全に隠れ透けていません。
また精密な型取りの材料を用いますので歯茎とのふちの部分も
短くなくピッタリと入っています。

ちなみに保険診療のCADCAM冠ですが中の歯の
変色が隠せませんので黒ずんで見えます。
このようにジルコニアクラウンは審美的にもまた
強度も強く被せ物としては非常に優れた材料になります。
ジルコニアボンドクラウンは自費診療です。121,000円(R7年11月時点)
被せ物が自費の場合、中の土台を被せた場合土台も自費になります(5,500円)。
この記事は院長が投稿しました。
プロフィール
医療法人爽誉会おくい歯科 院長 奥井英幹
1999年より名古屋市北区で開業しております。
骨造成を含むインプラント治療 ワイヤー装置を用いた
全顎矯正治療に歯周再生療法 小児矯正と幅広く診療
しております。またスタッフ採用、教育にも力を入れ
十分な体制でのチーム医療を提供できるように
院内スタッフと診療にあたっています。
地域で一番の診療所を目指しております。














