お問い合わせは052-910-0550
お問い合わせフォーム
予約

理事長BLOG

インプラントにおける上顎大臼歯の圧下治療について

2026年4月5日

院長の奥井です。今回はインプラントにおける上顎大臼歯の圧下治療について
説明したいと思います。
下の奥歯にインプラント手術を行うことは多いのですがその場合、上の
奥歯が下方向に落ちてきている状態が多く見受けられます。
これは下の奥歯を失ったことによって上の奥歯を止めておくものが
なくなり落ちていくというものです。
この場合、インプラント手術を行なっても上に被せる上部構造の
スペースがなく、非常に薄い被せ物になってしまいます。
そのため上の奥歯を沈める「圧下」という治療が必要になります。


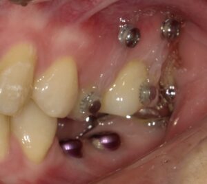
画像では下の奥歯にインプラントを行う予定ですが、下の歯が
落ちてきてほぼ上部構造のスペースがありません。


そのためこのようなアンカースクリューというネジを上の奥歯に
差し込んで奥歯を圧下させます。下の紫のキャップは
インプラント手術を行なった後のキャップになります。


5ヶ月後、かなり歯茎が下がりスペースが
できました。


そのさらに半年後です。インプラントの上の上部構造が
しっかりと入っています。

このように下の奥歯にインプラントを埋入したくても上の
奥歯が落ちてきている場合は圧下治療をされることを
お勧め致します(ただしお口の中の状態によって
できない場合もございます。

この記事は院長が投稿しました。
プロフィール 
医療法人爽誉会おくい歯科 院長 奥井英幹
1999年より名古屋市北区で開業しております。
骨造成を含むインプラント治療 ワイヤー装置を用いた
全顎矯正治療に歯周再生療法 小児矯正と幅広く診療
しております。またスタッフ採用、教育にも力を入れ
十分な体制でのチーム医療を提供できるように
院内スタッフと診療にあたっています。
地域で一番の診療所を目指しております。

ページトップへ戻る