院長の奥井です。
今回はプレオルソについて どんな場合に効果があるか
について説明したいと思います。
プレオルソについてのご相談が増えましたので
改めて説明させていただきたいと思います。
ただ矯正治療においては様々な考え方があると思いますので
私なりの考えを述べたいと思います。
まずプレオルソとはマウスピース型の矯正装置で商品名になります。
マウスピース型の矯正装置はたくさんの会社が製品を出しており
その一つになります。
プレオルソの機構は装着することにより舌が上に持ち上げられる。
いわゆる低位舌の改善と頬を妨げることにより頬の異常な力などを
排除に自然な歯並びに誘導するものです。
ただタイプ1 タイプ2 タイプ3とありますので、細かな作用は
若干異なります。
ですから軽度に歯が重なっている場合や
癖などで歯並びが影響を受けている場合に適すると思います。
あまりにでっぱが強い場合や叢生(そうせい)と言って重なりが
強い場合には難しいと思います。
プレオルソは既製品ですので型を取って作るものではないため
フィット感はありません。
ですから患者様ご自身が頑張って装着しないと改善は見られないと
いうことも言えます。

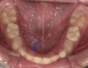
この場合、上は真ん中の歯に向かって尖った歯列になっています。下は矢印部分の
スペースが足りません。

そこでプレオルソを装着します。
就寝時に装着とあと起きている時に1時間装着をお願い
しています。

上のアーチが広がり、下の矢印の歯のスペースもできました。
このように比較的軽度に拡大してくれればいい場合に適していると思います。
ただいつもお伝えしていますが小児患者様は歯の生え変わりや成長がありますので
プレオルソのみで改善できるとは言えない場合もよくあります。
その場合は装置の変更もありえます。
この記事は院長が投稿しました。
プロフィール
医療法人爽誉会おくい歯科 院長 奥井英幹
1999年より名古屋市北区で開業しております。
骨造成を含むインプラント治療 ワイヤー装置を用いた
全顎矯正治療に歯周再生療法 小児矯正と幅広く診療
しております。またスタッフ採用、教育にも力を入れ
十分な体制でのチーム医療を提供できるように
院内スタッフと診療にあたっています。
地域で一番の診療所を目指しております。














