院長の奥井です。
今回は親知らずの抜歯で根が折れた時について
説明したいと思います。
親知らずは根が退化傾向になっていることが多く
根が先で曲がっていることがよくあります。
これがレントゲンでわかりにくいこともよくあり
抜歯する前に気づかないことも多いです。
そこで抜歯した時に根が折れてしまった場合は
折れた根を抜歯することを試みます。
ただし下の場合は下歯槽神経という神経に近いことも
多く神経を損傷させないよう注意が必要です。
上の場合は上顎洞という副鼻腔に近いことも多く
副鼻腔内に誤って入っていかないよう注意が必要です。

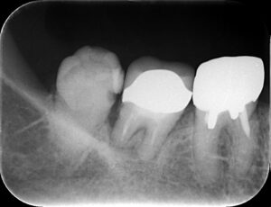
一番左の歯が親知らずで虫歯もあり抜歯となりますが
根が曲がっていることが分かりづらいです。

抜歯時に根が折れましたので折れた根も抜歯して
接合させてみて完全に根が抜歯できているか
確認します。

残った根を抜く場合は歯茎を切開して視野を広げる
必要があることが多くこの場合も切開して縫合した
ところです。
このように根が折れた場合は、慎重にしかし極力
折れた根を取ることが大切になります。
この記事は院長が投稿しました。
プロフィール
医療法人爽誉会おくい歯科 院長 奥井英幹
1999年より名古屋市北区で開業しております。
骨造成を含むインプラント治療 ワイヤー装置を用いた
全顎矯正治療に歯周再生療法 小児矯正と幅広く診療
しております。またスタッフ採用、教育にも力を入れ
十分な体制でのチーム医療を提供できるように
院内スタッフと診療にあたっています。
地域で一番の診療所を目指しております。














