院長の奥井です。
今回は抜歯即時埋入 抜歯と同時にインプラントを埋入する方法について
説明したいと思います。
通常、インプラントを埋入するタイミングは二つあります。
一つは抜歯してしばらくたってから不便さを感じてインプラントを
埋入する場合。
もうひとつは抜歯と決まってから抜いてからインプラントを埋入する
場合。
抜歯と決まってから抜歯後にインプラントを埋入する場合、
通常は3か月ほど待ち骨が再生したらインプラントを埋入するのが
一般的です。
しかし3か月ほど待つ場合は、その待っている間に骨がやせてしまう場合や
またその間、歯がないというデメリットがあります。
特に前歯の場合は、抜歯を行ったら早めに埋入して仮歯を入れたいと思います。
そこで骨の状態がよければ抜歯した日にインプラントを埋入できる
抜歯即時埋入という方法を行うことがあります。またその日に仮歯まで入れて
歯として機能させることを即時負荷といいます。仮歯があることでインプラントに
負荷がかかるからそう言われています。
しかし抜歯即時埋入は割れたりして抜歯をしインプラントを埋入する場合など
完全に感染している組織を取り除かないとインプラントが感染してしまう
リスクやまた残っている骨にしっかりとした部分がありしっかりと埋め込まないと
インプラントが抜けてしまう欠点があります。

レントゲンでは青色の部分が虫歯に感染しており
赤色が根の長さのため十分な長さがとれず抜歯と
計画致しました。

差し歯を外すと十分な根の長さがないのがわかります。抜歯を行いました。

その前にインプラントのシュミレーションをしますと
十分な骨がありますので抜歯即時埋入を計画しました。

インプラントを埋入したレントゲンです。

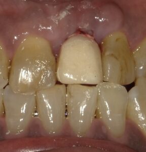
仮歯が同日に入ったところです。

約3か月待って上部構造(かぶせもの)を
作ってきました。

上部構造が装着されたところです。
このように抜歯即時埋入が行える場合、そしてさらに
即時負荷がかけられる場合は抜歯した日に仮歯が入りとても
患者様にとって満足度が高くなります。しかし抜歯即時埋入が
行えるのはケースが限られてきますので、歯科医師に
相談されることが大切です。
この記事は院長が投稿しました。
プロフィール
医療法人爽誉会おくい歯科 院長 奥井英幹
1999年より名古屋市北区で開業しております。
骨造成を含むインプラント治療 ワイヤー装置を用いた
全顎矯正治療に歯周再生療法 小児矯正と幅広く診療
しております。またスタッフ採用、教育にも力を入れ
十分な体制でのチーム医療を提供できるように
院内スタッフと診療にあたっています。
地域で一番の診療所を目指しております。














