今回は挺出(ていしゅつ)歯を引っ張り上げる治療について
説明したいと思います。
神経を取って差し歯にした歯の場合、噛み合わせの振動などで
差し込んでいる部分に隙間ができ虫歯になってくることがよくあります。
そこで差し歯が外れると周囲が虫歯になっており、歯茎の下にしか歯が
残ってなくもう一度差し歯にすることができなくなり抜歯となってしまう
こともよくあります。
その場合、当院では挺出といい歯を引っ張り上げる治療をお勧めして
おります。
挺出することが歯が歯茎の上に上がり、差し歯をしても長持ちする
事が可能になります。

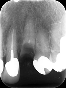
画像の真ん中の歯ですが差し歯が外れ完全に歯茎の中にしか
歯が残っていません。このままではもう一度差し歯をすることは
できません。

部分的に矯正装置を装着し挺出を試みます。

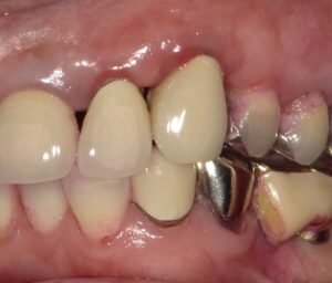
提出を終え差し歯が入った状態です。
両隣の歯とも調和がとれています。

左が治療前、右が治療後のレントゲンです。
かなり引っ張り上げられているのがわかります。
このように通常ならば抜歯となってしまう歯も挺出治療により
もう一度差し歯にする事が可能となります。
挺出治療は自費診療になります。
110,000円(ただし治療終了後の被せ物の費用は別途かかります)
(R7年12月時点の治療費です また上記のようなブラケット装置の
場合は装置代11,000円かかります)
また挺出治療で提出されたときに歯が破折していたことがわかっても
挺出により骨が再生しますので、その後のインプラントなどに有益と
なります。
この記事は院長が投稿しました。
プロフィール
医療法人爽誉会おくい歯科 院長 奥井英幹
1999年より名古屋市北区で開業しております。
骨造成を含むインプラント治療 ワイヤー装置を用いた
全顎矯正治療に歯周再生療法 小児矯正と幅広く診療
しております。またスタッフ採用、教育にも力を入れ
十分な体制でのチーム医療を提供できるように
院内スタッフと診療にあたっています。
地域で一番の診療所を目指しております。














