院長の奥井です。
今回は総入れ歯を作る時に 咬合採得(こうごうさいとく)について
説明したいと思います。
総入れ歯を作るのは難しいとされています。
それは歯が全く残っていないという事です。
歯が全く残っていないため噛み合わせの高さを決めることと
また噛み合わせの前後左右の位置付けを決めることが難しく
なります。

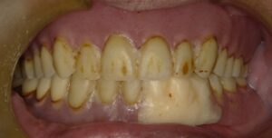
総入れ歯の作り直しをご希望されました。
下の入れ歯は歯が抜けたままになってましたので
増歯といい歯を足す処置をしました。

顎堤(がくてい)と言って顎の盛り上がっている部分が
上は向かって右に向かってカーブしています。
このまま入れ歯を作ると向かって右下がりの
入れ歯になってしまいます。

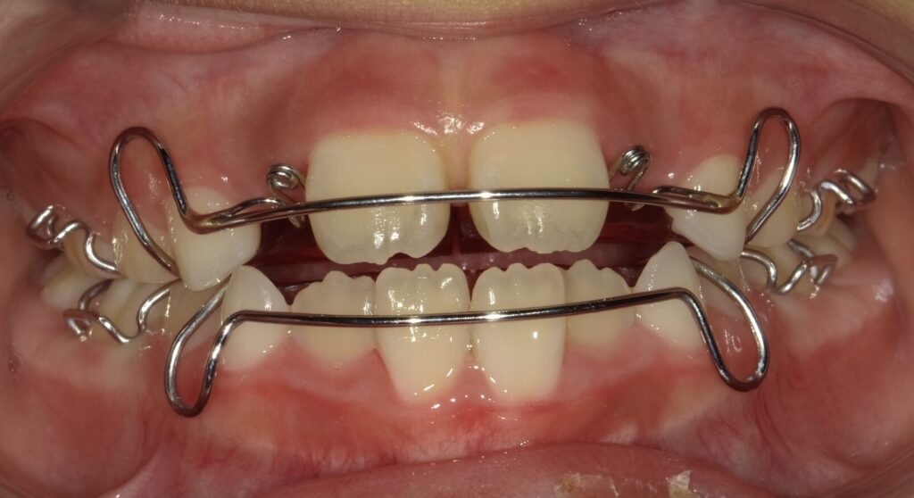
咬合採得(こうごうさいとく)と言って噛み合わせの
位置を決める処置です。
上のラインがカンペル平面といい鼻の下と耳を結んだ線で
これが入れ歯の噛み合わせのラインと平行であるのが
理想です。これは平行になっていません。

お口に入れる蝋でできた咬合床と呼ばれる
顎堤を模したものの位置を直して平行にしました。

正面から見ても平行になっています。

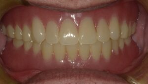
入れ歯が完成したところです。
噛み合わせが向かって右下がりになっていません。
このように総入れ歯を作るときは咬合採得がとても
大切な過程になります。
噛み合わせをしっかりと測って作った総入れ歯は
合うことが多いです。
この記事は院長が投稿しました。
プロフィール
医療法人爽誉会おくい歯科 院長 奥井英幹
1999年より名古屋市北区で開業しております。
骨造成を含むインプラント治療 ワイヤー装置を用いた
全顎矯正治療に歯周再生療法 小児矯正と幅広く診療
しております。またスタッフ採用、教育にも力を入れ
十分な体制でのチーム医療を提供できるように
院内スタッフと診療にあたっています。
地域で一番の診療所を目指しております。














