今回は知覚過敏の治療について説明したいと思います。
知覚過敏とは虫歯や歯の神経の炎症などがなくても、冷たいものや歯ブラシや
甘いものなどに触れた時に痛みが走る症状のことをいいます。
原因としては、エナメル質がすり減ったり、歯ぐきが下がって歯の根元が露出したりして、
内側の刺激が伝わりやすい象牙質がむき出しになることが主な原因です。
知覚過敏の場合、最も即効性があるのは歯科医院でしめ止めを塗ることです。
しみ止めの作用は塗ることで象牙質の中になる管(象牙細管といいます)を
封鎖することです。
また楔状欠損といい根元のすり減りが強い場合は、レジンという樹脂を
詰めるという方法もあります。
https://okui-dc.jp/2022/05/29/%E6%AD%AF%E3%81%AE%E6%A0%B9%E5%85%83%E3%81%AE%E3%81%99%E3%82%8A%E6%B8%9B%E3%82%8A%E3%80%80%E6%A5%94%E7%8A%B6%E6%AC%A0%E6%90%8D%EF%BC%88%E3%81%8F%E3%81%95%E3%81%B3%E3%81%98%E3%82%87%E3%81%86%E3%81%91/
またナイトガードというマウスピースを装着することもあります。
これは歯軋りがひどい場合に歯にひびが入りしみるケースには有効です。
知覚過敏用の歯磨き粉を使用するのもいいと思います。
歯磨き粉を直接塗っても効果があるもののあります。しかし
歯磨き粉で治らない場合は歯科医院でしみ止めを塗ってもらうのも
一つです。

画像の青部分はすり減った部分にレジンが充填されています。
しかし緑部分はすり減りが小さくレジンを充填しづらく
余分に詰めてしまいがちで、かえって清掃性が悪くなります。

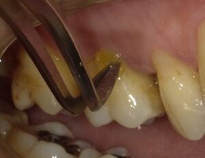
しみ止めを塗っているところです。

このしみ止め(Gガード)は光照射が必要です。
知覚過敏はよくある症状です。虫歯ということもありますので
症状が出た場合は歯科医院への受診をお勧め致します。
この記事は院長が投稿しました。
プロフィール
医療法人爽誉会おくい歯科 院長 奥井英幹
1999年より名古屋市北区で開業しております。
骨造成を含むインプラント治療 ワイヤー装置を用いた
全顎矯正治療に歯周再生療法 小児矯正と幅広く診療
しております。またスタッフ採用、教育にも力を入れ
十分な体制でのチーム医療を提供できるように
院内スタッフと診療にあたっています。
地域で一番の診療所を目指しております。














